Treatments

 
 
 
InvisalignStraighten your teeth in the most discreet and comfortable way possible! Invisalign is a series of custom made clear aligner orthodontic appliances which help correct the alignment and position of teeth for a beautiful smile! The aligners …

Invisalign

Straighten your teeth in the most discreet and comfortable way possible!

Invisalign is a series of custom made clear aligner orthodontic appliances which help correct the alignment and position of teeth for a beautiful smile! The aligners are virtually invisible and have no metal wire or brackets.

The Invisalign system consists of a series of clear aligners that gradually move teeth to a more ideal position. Each tray is fabricated using 3D printing technology to move each tooth by up to 0.25mm. In crowded cases, space is often created between teeth by shaving small amounts of enamel (< 0.5mm) to allow your teeth to shuffle past each other.

Invisalign is often the first step of your Minimally Invasive Smile Makeover.

Dental ImplantsAn&nbsp;aesthetic &amp; permanent solution to missing teeth!Dental implants are titanium screws that are surgically placed in to the jaw bone to support permanent restorations to replace missing or extracted teeth. Once an implant is …

Dental Implants

An aesthetic & permanent solution to missing teeth!

Dental implants are titanium screws that are surgically placed in to the jaw bone to support permanent restorations to replace missing or extracted teeth. Once an implant is placed, it usually takes 3-6 months for the implant to fuse to the jawbone and the surrounding gums to heal. Once this occurs, a fixed artificial tooth can be screwed or cemented onto to the implant which replaces your missing tooth.

Dental implants can be used to replace a missing single tooth, a segment of multiple teeth (implant bridge) or a full jaw of teeth (full arch fixed bridge or implant-supported denture). Tooth loss is often accompanied by loss of bone in the area which may need to be rebuilt (bone grafting or sinus lift) prior to or during implant placement. These are often simple painless surgical procedures performed under local anaesthesia alone, but patients do have the option for intravenous sedation.

Once the implant has fully integrated with your jawbone, a custom-designed porcelain crown is fabricated to perfectly match the shade of your existing teeth.

IMG_0431.PNG

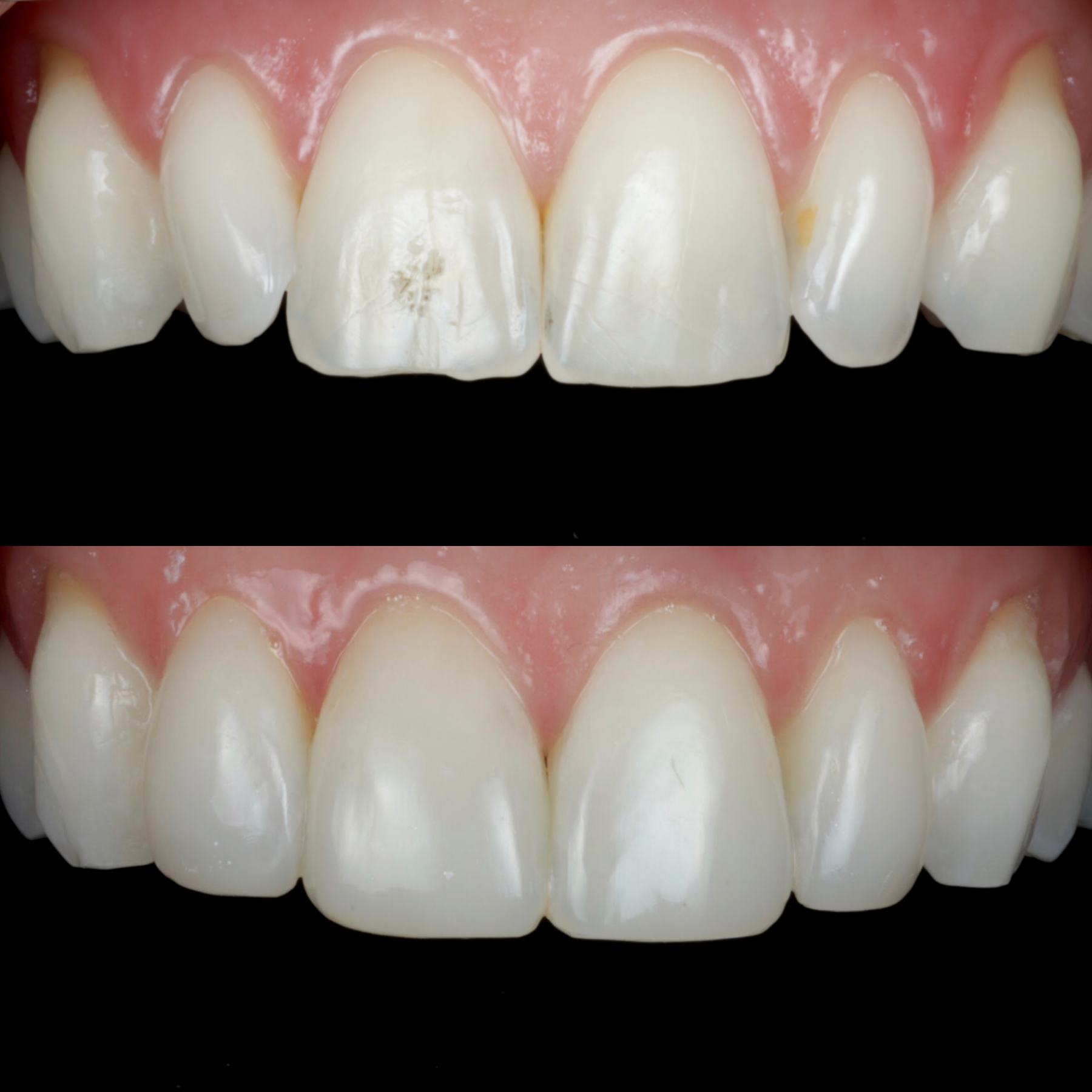
Aesthetic Bonding

Aesthetic bonding, an umbrella term for composite veneers and composite bonding, is a non-invasive cosmetic dental procedure where composite resin is sculpted and bonded to natural teeth in order to improve the shape, size and colour of your teeth. Often, this requires no removal of your natural teeth and can be done in a single visit.

Composite resin lasts between 5 to 7 years before they begin losing their lustre or develop surface staining. This can then be repaired, re-polished or replaced in its entirety. Aesthetic bonding is usually the last step in our Minimally Invasive Smile Makeover.

There are multiple differences between composite and porcelain with numerous advantages and disadvantages of both - but one major advantage to composite is the ease of repairing and re-polishing chipped or dull composite veneers. However, the lifespan of composite is not as long as porcelain.

IMG_2077.jpg

Teeth Whitening

Professional teeth whitening is the only way to safely guarantee long lasting white teeth. The use of over the counter whitening products may potentially cause irreversible damage to the enamel of your teeth.

We provide a home teeth whitening kit which includes custom-made upper and lower whitening trays and enough whitening gel to get your teeth to your desired result. During your consultation, a detailed assessment is performed to ensure your teeth and gums are in good health along with photographic shade analysis. After just 14 consecutive nights of use, your smile will be reviewed and a new photographic shade analysis is performed, comparing this to your pre-whitening shade.

While individual results can vary, an improvement in colour can be noticed in as little as 5-days.

IMG_3551.jpg

Porcelain Veneers

Crowns and veneers are highly aesthetic thin shells made from dental ceramics which are cemented onto natural teeth. Similar to composite bonding, porcelain crowns & veneers can be used to improve the shape, size and colour of your teeth. However, in contrast to composite, porcelain requires removal of a small amount your natural teeth to allow these shells to fit over your teeth. After tooth preparation, an impression (or mould) of your teeth is made and couriered to our dental laboratory.

Our master dental ceramicist will then craft your porcelain veneers following our detailed prescription based on what you have requested. While our ceramicist is working hard on your bespoke veneers, you may have some temporary veneers fitted on your own teeth for a short period of three to four weeks.

There are multiple differences between composite and porcelain with numerous advantages and disadvantages of both - but one major advantage to porcelain is the high shine and surface finish which lasts the lifetime of the veneer. However, cracks or chips in porcelain often requires replacement of the entire ceramic veneer.